できるだけ歯を残すための治療『歯冠長延長術』
2021/11/16 | むし歯
こんにちは。

神戸市東灘区 のだ歯科医院 歯科医師の渡邉です。
朝晩はぐっと冷え込むようになりましたね。
体調など崩さないよう免疫力をしっかり高めていきましょう!
今回は、『歯冠長延長術』についてお話ししたいと思います。
歯は骨の中に埋まっています。
歯ぐきの下に歯の割れ目が及んでしまったり、むし歯が進んで歯ぐきが覆いかぶさった状態になると、
通常のむし歯治療では治すことができないため、ほとんどの場合抜歯になります。
歯ぐきの下の状態をそのままにして、無理に治療をしても、
歯ぐきや歯ぐきからの出血が邪魔をして、正確な型取りができず、合いの良い被せ物が作られなかったり、
細菌感染の起こしやすい環境を残したまま治療を完了することになってしまいます。
結果として、合い具合の悪い部分からむし歯になったり、歯周病が進行してしまったり、被せ物の脱離、破折に繋がり、
結局のところ再治療が必要になる可能性が高くなります。
歯冠長延長術とは、歯ぐきから出ている健康な歯の量が足りない場合に行う、歯周外科処置のひとつで、
その名の通り、歯ぐきを少し下げて、歯ぐきの中に埋まっている歯を歯ぐきの上に出す治療法です。
歯ぐきの下にある歯をしっかり露出させることで、正確な型取りができ、お手入れのしやすい環境も獲得することができます。
結果として、長持ちのする被せ物を作ることができます!
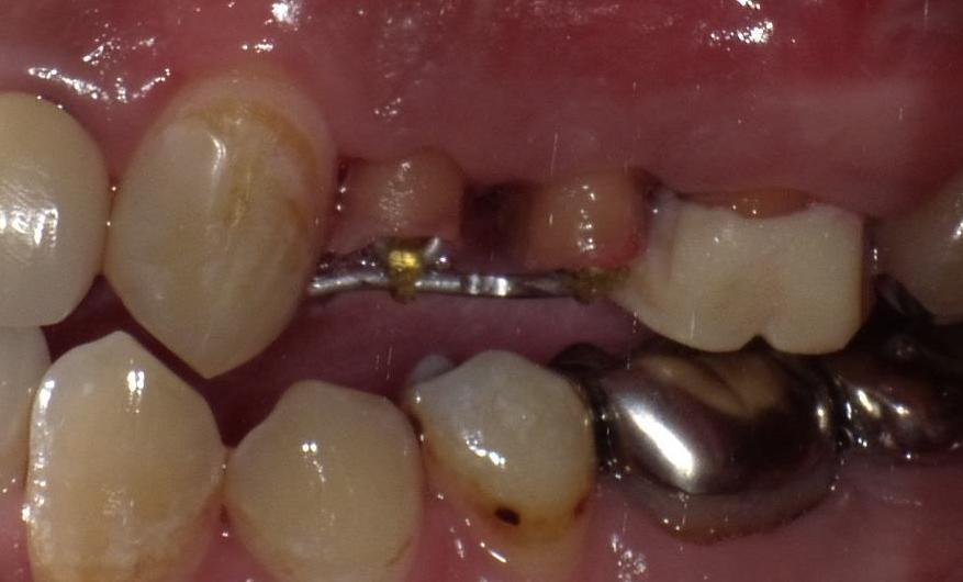
歯ぐきの下に及んだむし歯に対する症例

↓

もちろん、症例によっては難しい場合もありますので、しっかりとした診査の上で診断させていただきます。
むし歯が大きいので抜歯と言われた・・・などとお悩みの方、
ぜひ一度ご相談ください(^^)


