歯肉の色、黒くなってない?
2022/03/09 | ホワイトニング・審美
こんにちは!
神戸市東灘区 のだ歯科医院歯科衛生士の大原です。だんだんと暖かくなり、梅林公園の梅の花が満開になっていますね(^^)

今日のブログでは、ガムピーリングのお話をさせて下さい。
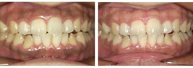
ガムピーリングとは、歯肉のメラニン色素除去のことを言います。
ガムピーリングの治療法はいくつかありますが、当院では中でもよく行われているフェノールという薬剤を使ったフェノール・アルコール法という治療法を用いております。
ガムピーリングを行うことで、黒ずんだ歯肉が一層剥がれて、健康的で綺麗なピンク色の歯肉になっていきます!

歯肉にメラニン色素が作られる主な原因は喫煙や受動喫煙で、タバコのニコチンやタールから歯肉を守る為にメラニンが作られ、黒くなってしまいます。
親が喫煙していると中学生や高校生の歯肉でも黒くなります。
他にも、紫外線や口呼吸、遺伝的要因などが原因になることもあります。
★こんな方にオススメ★
・歯肉の黒ずみが気になっている
・タバコを吸っている(吸っていた)
・ホワイトニングやセラミックを入れたのに口元が明るく見えない気がする
・歯肉が黒くて、淡い色の口紅が似合わない
・結婚式を控えている
・人と接する仕事をしている
★ガムピーリングのメリット★
①痛みがほとんど生じない
フェノールを使ったガムピーリングの治療では、治療中痛みを感じることがほとんどありません。表面麻酔だけで疼痛コントロールが得られます。
治療後、数日間ヒリヒリとすることがありますが、鎮痛剤を服用しなくても改善してくる場合が大半です。
②回復が早い
ガムピーリングは、古くなった上皮が新しい上皮に置き換えられるターンオーバーという生理現象を利用した歯肉の変色の改善法です。
フェノールの効果でターンオーバーを促進して歯肉の変色を改善させますので、回復が早く、1週間ほどできれいな色調を取り戻せます。
③安全性が高い
フェノールを用いたガムピーリングが開発されてから70年ほど経過しています。そのため、術式も確立しており、問題点もほぼ洗い出されて改善されているため、安全性が高い処置といえます。
★ガムピーリングのデメリット★
①治療後数日間ヒリヒリする
ガムピーリングを受けてから数日間、患部がヒリヒリとした軽い痛みや違和感を感じることがあります。ほとんどの場合は、自然に治癒しますので経過観察となります。
②薬剤アレルギーがあると出来ない
ガムピーリングに用いるフェノールやアルコールなどの薬剤にアレルギー反応を示す方は、ガムピーリングを受けていただくことができません。
③歯肉退縮のリスクがある
綿球を使ってフェノールを塗布しますが、フェノールは液体なので、症状によっては塗布範囲のコントロールが難しいことがあります。 もし患部の歯肉が薄い場合、歯肉退縮を引き起こすことがあります。
④金属による変色は適応外
装着した金属補綴物から溶出した金属イオンによる歯肉の変色は、薬剤を用いたガムピーリングでは改善させるのは難しいです。
⚠︎術後の注意事項⚠︎
・ガムピーリング後、刺激の強い食べ物(辛い物や塩辛い物など)は控えて下さい。
・痛みに対する反応は個人差があり、やけどをしたようなヒリヒリ感を感じる場合があります。
・ガムピーリング後、2~7日間くらい歯肉が白っぽくなりますが、少しずつ表層がはがれていき、1週間後辺りから白濁は消失し、健康的な歯茎の色調になっていきます。
・個人差もありますが、生活状況(喫煙、コーヒー、お茶等)によっては、再発する事があります。
《料金》
上下 11.000円
ご興味のある方は、いつでもご相談ください(^o^)


